抽象
氰基丙烯酸酯粘合剂已用于医学和牙科,但有一些有争议的观点。本文旨在总结氰基丙烯酸酯粘合剂在牙科和外科手术中用于口腔伤口的相关文献,重点介绍其应用、适应症、优缺点。总之,在过去几年中,体内和临床研究已经证明了口内和口外手术中使用的所有类型的氰基丙烯酸酯粘合剂的安全性、有效性、易用性和可行性令人信服的结果。
简介
在过去的几年里,组织粘合剂已被研究为传统缝合线的良好替代品,尽管以下特性等至关重要:足够的粘合强度、在潮湿环境中的适当聚合、生物相容性、稳定性和良好的工作时间。 在这方面,氰基丙烯酸酯粘合剂似乎是用于医学和牙科的不错选择。1998年8月,美国食品药品监督管理局批准氰基丙烯酸酯粘合剂用于手术和创伤创面。这些粘合剂在湿组织中存在羟基离子的情况下聚合,实现轻微放热聚合。氰基丙烯酸酯根据其链的长度和复杂性有几种不同的形式;这些药物包括甲基、乙基、正丁基、异戊基、异己基和辛基氰基丙烯酸酯。
Herod首次对氰基丙烯酸酯粘合剂在牙科中的应用进行了综述;然而,体外、体内和临床研究需要进行更新,其中包括新的测试与商业氰基丙烯酸酯粘合剂的使用相结合,这些测试在过去几年中取得了持续改进。然后,在本综述中,我们试图总结有关氰基丙烯酸酯粘合剂用于牙科和外科手术过程中产生的口腔伤口的相关文献,重点关注其应用、适应症、优缺点。
文献报道了氰基丙烯酸酯粘合剂在口腔外科手术中的应用方面的几个优点。
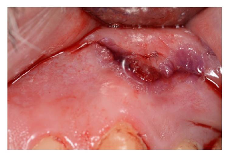
氰基丙烯酸酯粘合剂在血液或唾液等液体存在下会变硬(图1),具有良好的生物降解性以及止血和抑菌性能。 氰基丙烯酸酯粘合剂的简单快速应用,以及良好的止血性能,可以令人满意地闭合口腔粘膜伤口。 Al-Belasy和Amer证实了氰基丙烯酸酯在接受华法林治疗的同时接受口腔手术的患者中的止血作用,观察到令人满意的愈合,没有并发症。
图1

在根尖手术期间,使用由氰基丙烯酸正丁酯和氰基丙烯酸辛酯组成的粘合剂在潮湿环境中闭合伤口。此外,氰基丙烯酸酯粘合剂提供了防止碎屑收集的机械屏障,从而缩短了愈合时间并加速了上皮角化。 患者还报告了对这种材料的高度满意度。
在引导骨再生的情况下,氰基丙烯酸酯粘合剂简化了膜固定,减少了临床医生的时间和不适感。Gümüs和Buduneli 报告说,当他们使用氰基丙烯酸酯粘合剂时,游离牙龈移植物的收缩更少,与显微外科(缝合:7.0,放大)和传统(缝合:5.0)技术相比,氰基丙烯酸酯确定了受体部位的尺寸变化、临床时间和疼痛更小。
由于氰基丙烯酸酯粘合剂不需要任何针头即可使用,因此它们消除了临床医生和辅助人员发生穿刺事故的风险。
这些粘合剂的无痛应用程序允许它们用于麻醉效果减弱的情况以及焦虑或恐惧的患者,例如儿童。此外,氰基丙烯酸酯不表现出遗传毒性活性或全身毒性,也不会引起粘膜刺激或皮肤敏感性。 研究人员还报告说,使用区域的炎症反应极小,坏死的可能性为零。 最后,一些作者报告了出色的美容效果,没有裂开或过敏反应。
抑菌和止血特性
氰基丙烯酸酯粘合剂表现出良好的抑菌性能,这可以通过聚合物的强电负电荷及其形成防止任何材料或生物体进入的机械屏障的能力来解释。此外,据报道,氰基丙烯酸丁酯粘合剂对革兰氏阳性菌具有抗菌作用。
氰基丙烯酸酯粘合剂在应用时也能立即止血; 这归因于它们能够在伤口部位形成机械屏障,这有利于凝血过程并允许控制出血(图2)。
图2

文献:







